Hear What Our Patients
Have to Say

“If you want a prosthodontist who truly cares and puts every ounce of passion into his art, then you wouldn’t want to go anywhere else! He shows a great deal of professionalism and attention to detail in everything he does. He will thoroughly listen to you and do everything he can to connect and make your needs his top priority.”

Lindsey

Has your smile journey been filled with struggle, pain & fear?

Then it’s time for a more comfortable and stress-free dental experience.

I Want A Consultation

Conventional removable dentures are one of the most long-standing and common ways to replace all of the missing teeth. Dr. Charette has a passion for the art form of conventional dentures and is committed to doing everything possible to achieve the best outcomes possible.

In the past, a person’s quality of life with a denture was dependent solely on the amount of remaining bone and the size of the supporting ridges. Today, dentures can be greatly enhanced by utilizing dental implants to help stabilize or even secure the dentures into place.

That said, not every patient has the budget to commit to dental implant therapy and for that reason, Dr. Charette has taken a great deal of pride in advancing his education in the art form of conventional denture fabrication, advanced impression techniques, and custom processes for each patient’s individual needs.

Dentures from Dr. Charette in Louisville, KY can help restore your smile's beauty and function.

What Are Dentures?

Dentures are used when there is a need to replace all of the teeth on either the top, bottom, or both arches. They are essentially an acrylic base with resin teeth that sit on top of your gums.

Dr. Charette utilizes custom impression trays and materials to make impressions of your mouth and then guides the laboratory on the tooth position and final fabrication of your custom dentures.

Conventional Dentures

Conventional dentures (commonly called plates) do not rely on implants for assistance against horizontal or vertical forces. Thus, their stability and retention are dependent on proper fabrication and the nature of the tissue (gums) that support them.

  • A conventional upper denture (a maxillary denture) requires palatal coverage, meaning that it must cover the roof of your mouth in order to achieve a suction effect.
  • A conventional lower denture (a mandibular denture) can be difficult to manage as a suction effect is not possible due to the position and function of the tongue and floor of your mouth.

When getting conventional upper dentures at our Louisville, KY office, it will require the palate to be covered for the best suction.

Lower conventional dentures can be difficult to manage due to lack of suction, so Dr. Charette in Louisville, KY may recommend another option.

Implant Dentures

These come in a variety of options, each having the benefit of added stability and retention. They can be either;

  • implant-supported (removable)
  • implant-retained (fixed by screws)

Regardless of the type of implant prosthetic that fits your budget, implants can improve your quality of life. Implants allow the denture to have shorter extensions (flanges), making them less bulky and more comfortable to wear. Implants can also eliminate the need to cover the palate by replacing the need for a suction effect in an upper denture.

Fixed or implant-retained dentures utilize implants to secure a full arch of teeth into the bone in order to achieve maximum function. When planned properly, they can be highly esthetic and have the potential to last for a lifetime with regular service and maintenance.

7 Signs You Need Dentures

  1. You are an adult with loose teeth: Loose teeth often are a sign of advanced gum disease and it may be time for dentures.
  2. Chronic and severe toothaches: Severe tooth pain can be a sign of deep decay (deep cavities), infection, fracture, and could mean that the tooth/teeth need to be extracted. If extractions are necessary, the number and quality of teeth that remain will determine whether a full or a partial denture is needed.
  3. Red, swollen, tender, or bleeding gums: Gum disease is the cause of approximately 70% of adult tooth loss, and affects three out of four people at some point in their lives. If you notice tender gums, this is an early sign that it’s time to head to the dentist. If left untreated, gum disease can progress to bone loss, tooth loss, and the possible need for dentures.
  4. You already have missing teeth: If some of your teeth are already missing, the remaining teeth are likely suffering from the added pressure. Without a partial or another form of replacement, the remaining teeth are in jeopardy of shifting and tipping which in turn can lead to major bite problems that may not be easily addressed.
  5. You can’t eat your favorite foods: Not being able to eat the foods you love can be very frustrating. Most patients who seek out fixed implant dentures (hybrids or all-on-4’s) state that this is a common reason for doing so.
  6. You have frequent heartburn or stomach aches: This is a surprising sign of dental issues, but when you can’t chew your food properly, or heat healthy foods, it can be very hard on your stomach and digestive system.
  7. You’re not smiling anymore: Although dentures can take some getting used to, the majority of denture wearers can smile with confidence. Missing or damaged teeth can impact your self-esteem and cause you to hide your smile from those you love.

Types of Dentures We Offer

At Charette Prosthodontics in Louisville, KY, we offer several different types of dentures. Based on your exact needs and preferences, Dr. Charette will recommend the type that will help create your perfect smile. Let’s take a look at the different types of dentures available.

Permanent Dentures

These are also known as hybrids, all on 4’s, fixed dentures, or implant dentures. They are meant to replace all of the teeth on either or both arches with prosthetics that look, feel, and function like natural teeth. These prosthetics are the Cadillac of tooth replacement for a full arch or full mouth of missing teeth.

Like all implant therapy, the ability to receive a hybrid prosthetic is dependent upon the amount of bone available to support the number, and position, of implants, required. Some patients will need to have a bone reduction to create enough space for the restorative material, while others will require bone augmentation or sinus lift to add bone width or height, and sometimes both.

To secure permanent dentures, Dr. Charette in Louisville, KY uses several implants.

Permanent dentures can not be removed except by your Louisville, KY prosthodontist.

Implant Assisted Removable Dentures

At our office, we offer two types of implant assisted removable dentures.

  • Implant Over-Dentures: This type is removable but more stable and retentive than conventional dentures. These are great therapies for someone who is looking for something better than a denture, but not as expensive as other fixed options. Although these may look like conventional ones, they still have more retention and stability than their counterparts. Implant over-dentures help to preserve the bone long term by providing stability at the level of the implant. They also provide a hard vertical stop that keeps them from putting as much force on the remaining bone. Additionally, upper over-dentures are less bulky and don’t cover the roof of your mouth, thus improving taste and speech.
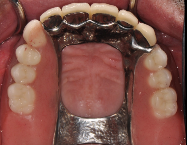
  • Implant Removable Partial Dentures: Implant assisted partials can be less bulky and often do not require metal clasps to attach them to the remaining teeth. These are often used for people who are missing some teeth, who have other healthy teeth left, and who desire a more affordable replacement than traditional crown and bridge or single implant therapy. These prosthetics are designed to use your existing teeth in addition to the implants for retention and stability. Thus the more teeth a person has, the more stable and retentive the prosthetic is going to be.

For more secure removable options, Dr. Charette in Louisville, KY will use dental implants.

Getting implant removeable partial dentures at our Louisville, KY office can help replace missing teeth.

Conventional Removable Dentures

Charette Prosthodontics in Louisville, KY also provides traditional removable denture care. This is the typical gum-colored acrylic resin with tooth-colored acrylic teeth embedded and bonded in it.

  • Complete Dentures: These are not considered a replacement for your teeth. They are only considered a replacement for no teeth at all. They will not function like normal teeth, but they will provide about 20-30% of the function of a normal set of teeth.
  • Removable Partial Dentures: These are meant to replace several missing teeth in either or both arches. These types of prosthetics are common and affordable. Because they use your remaining teeth for stability, the more teeth you have the more stable your prosthetic will be. The number as well as the arrangement of remaining teeth will greatly impact your experience with the partial.

It is important to note that both types of removable prosthetics need to be removed on a regular basis (for several hours daily). This allows the tissues underneath to breathe and stay healthy. Most patients leave them out at night, others take them out while they read a book or watch their favorite TV show.

If you have several missing teeth along with several healthy teeth, call our Louisville, KY office about conventional removeable partial dentures.

Removeable partial prosthetics need to be taken out periodically to allow the tissue to breathe.

Benefits of Dentures

  • Despite dentures sounding like an “old-school” approach to missing teeth, there are several benefits that many patients appreciate about using them.
  • Today’s dentures are designed to be more functional and comfortable than ever before.
  • They can increase your self-esteem by restoring a full and beautiful smile.
  • With fixed options you can enjoy an improved ability to bite and chew your favorite foods.
  • They support your facial muscles and your facial structure, making you look younger.
  • Support from dentures can improve your speech and make it easier to communicate with others.
  • Using partial denture protects your remaining teeth (if any) from extensive wear and tear. Removable options are easy to care for and make daily oral hygiene easy.

FAQs About Dentures

The teeth on a denture can and will wear over time and will need to be replaced much like the tires on your car. They will last the longest if you drive on smooth roads and avoid potholes. Grinders and patients with granular diets will wear their teeth faster than others.

In addition, when teeth are extracted, the bone begins to resorb over time. It is usually greatest in the first 1-3 years following the removal of the teeth. Thus, a new denture fabricated after recent extractions will likely require a reline in the first 1-3 years. Subsequent relines will be required at a time that varies from person to person.

The cost of dentures at Charette Prosthodontics will be determined based on your individual needs and desire for implants. Cost is directly associated with the type of denture and the number and arrangement of implants needed to assist or retain it.

Cleaning Permanent Dentures: They should be brushed regularly and cared for as you would care for your regular teeth. A floss threader or a water-pick will help you clean underneath the prosthetic much like a dental bridge.

Cleaning Removable Dentures: In addition to your regular daily brushing, it’s necessary to use a deep-cleaning solution for removable dentures in order to eliminate bacteria from the denture. These solutions typically come in the form of effervescent tablets, which are specifically formulated to clean dentures.

Why Come to Charette Prosthodontics

Dr. Jyme Charette in Louisville, KY has spent years perfecting the art of both conventional and implant dentures. He is a distinguished faculty member at the U of L School of Dentistry, an author for numerous dentistry publications, and helped develop an all-digital process for full arch dental implants. Each treatment and experience are as unique as the patient themselves. He and his team are ready to serve as a pathfinder on your journey to find a complete dental restoration. 

Your Teeth Restoration Solution

Dentures have been around for nearly as long as dentistry has. They tend to be the least expensive solution for replacing missing teeth. Today, innovation and digital technologies have decreased the time from impression to fabrication and have greatly improved the fit of these prosthetics.

Give Dr. Charette in Louisville, KY a call to start your journey to a functional and beautiful smile.

Has your smile journey been filled with struggle, pain & fear?

Then it’s time for a more comfortable and stress-free dental experience.

Schedule My Consultation Now